顎顔面矯正
顎顔面矯正とは
最近の子供たちは歯並びの悪い、噛み合わせの問題(不正咬合)をもつ子供たちが増えてきました。
歯の大きさ自体は戦前に比べ母体の栄養状態が良くなり大きくなりましたが、逆に噛む回数が減って顎の発育不全により歯の生えるスペースが足りなくなり、結果として歯が綺麗に並ばなくなっています。
顎顔面矯正法とは顎の骨全体を広げていく矯正法です。
外見的な美しさのみを目的とする矯正法ではありません。
矯正装置を使い、顎と顔面の骨そのものの発育の遅れ(発育不全)を取り戻し、健康な体をつくると共に体本来の正常な機能、正常な発育を促すことで、結果として不正咬合を防ぎ正常な顎顔面と良い歯並びを造る治療方法なのです。
発育途上のお子様には有効な治療法で、正常な成長を助けることによって綺麗な歯並びを手に入れることが出来るでしょう。
当院では、「顎顔面矯正治療」により単なる抜歯をして見た目の歯並びのみを整えるワイヤー矯正だけではなく、歯並びを根本から治療し、体そのものを健康にし、機能的で美しい咬み合わせを作る矯正を行っています。
不正咬合が起こす問題
成長期のお子様に不正咬合(噛み合わせの悪さ)がある場合、考えられる理由のほとんどは顎の成長が上顎で抑えられ、顎の発達が妨げられているということです。
不正咬合があるお子様がもつ特徴として、摂食、咀嚼、嚥下の問題は勿論ですが、いつも口を開いてる、姿勢が悪い、いびき、口臭、ぜんそく、中耳炎、風邪をひきやすい、鼻アレルギーなどが様々な問題があります。 これらの問題は、体全体の健康そのものに大きな関わりがあり、お子様の発育に多大な影響を与えているのです。
子供たちは、顎顔面の発育不全のままで成長期を終え、不健康という負荷を抱えることはその後の人生に大きな影響を及ぼすことも十分に考えられることです。
歯並びのベースにある歯槽骨や顎骨、頭骨、それらを取り巻く軟組織までを考慮して一連の治療を進めることで、歯並びだけでなくこれらの問題も同時に改善されると言われています。
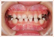
不正咬合の症例





上の写真で見られるように、顎の骨の発育不全によって、歯並び・噛み合わせが悪くなってしまっています。
原因として、顎の成長が上顎で抑えられ、顎の発達が妨げられているということが考えられます。
治療方法
顎顔面矯正治療の具体的な方法は、口の内部に急速拡大装置という特殊な器具を装着し、顎の骨全体を広げることで骨の正常な成長を促します。
その結果上顎の骨が広がることで、狭くなっていた鼻腔や気道も広がり、鼻づまりやぜんそくの改善、いびきの軽減など様々な効果も期待できます。
下顎に関しても、舌が本来あるべき位置に戻るために、舌運動機能や咀嚼機能の改善などの効果が期待できます。
顎全体そのもののバランスを整えることで、体本来の正常な機能・正常な発育へとつながっていきます。





上の写真のように、特殊な装置(急速拡大装置)を装着することで、歯並びの矯正だけではなく顎の骨自体を広げ、正常な状態に近づけていきます。
別の装置を装着した治療例





上の写真のように違うタイプの急速拡大装置を装着する場合もあります。
お子様の症状に合わせて最も適した方法で治療を行います。
顎顔面矯正により体全体が良くなった症例

顎の矯正をする前には、左の写真のように真っ直ぐ立った状態でも姿勢が歪んでしまっていましたが、顎顔面矯正の治療をして姿勢そのものがまっすぐになりました!。
早期の治療をお勧めします
お子様の歯並びが悪いと感じたり、全身に何か問題があると感じた際は、早めに顎を広げる治療をお勧めしています。特に、急速拡大装置を使用する治療は、6歳~12歳頃(場合によってはその前後)までに治療を開始することをお薦めしています。
このような治療は早期治療(1期治療)、予防矯正とも呼ばれていますが、正常な機能と発育を一刻も早く取り戻す、まさに不正咬合の芽を摘む治療と言えます。
成人になってからの矯正の場合、骨格が出来上がってしまっているため歯並びを綺麗にするためには抜歯しなければならないケースが多く、その分既往症なども含めてリスクが多くなってしまいます。
顎を大きくする治療の場合は、抜歯しなければならないケースはほとんどありません。また治療費として、ワイヤーなどを使用する矯正方法と比べて、顎顔面矯正法の場合は個人差はありますがワイヤー矯正の3分の1ほどで済みます。
早期に治療を開始し様々な問題を解決することで、より健康で幸せな生活を送ることが出来、快適な老後を迎え、お子様が素晴らしい人生を過ごすことが出来るでしょう。